Узнайте больше о прогрессивном лечении менингиомы за границей
Менингиома чаще всего относится к доброкачественным внутричерепным новообразованиям, чаще всего выявляется у женщин. По различным данным частота выявления менингиомы составляет от 13 до 25 % всех первичных опухолей внутри черепа. В сравнении с другими видами опухолей головного мозга имеет более доброкачественное течение и лучшие прогнозы, требует менее сложного лечения, в случае успеха - возможно полное излечение
Содержание
- Что такое менингиома?
- Классификация и виды менингиомы
- Как быстро растет менингиома?
- Симптомы менингиомы
- Специфика диагностики менингиомы
- Особенности лечения менингиомы за границей
- Как проводится удаление менингиомы в Израиле
- Прогнозы лечения менингиомы
- Узнайте цены на лечение менингиомы за рубежом
Что такое менингиома?

Более современные подходы к лечению рака мозга за границей, и других заболеваний вынуждают многих пациентов выезжать на лечение за рубеж.
Менингиома - это доброкачественная опухоль, основу которой составляют ткани паутинной мозговой оболочки, если еще более детально - опухоль состоит из клеток арахноидального эндотелия. По МКБ-10 менингиоме присвоен код С 70. Поскольку новообразование – доброкачественное и состоит из обычных клеток, опухоль окружена капсулой и редко прорастает в рядом расположенные ткани. Размеры варьируют. На данный момент известны случаи, когда извлекали опухоль диаметром около 15 см. Форма также может быть различной, опухоль бывает узловатой или подковообразной. Несмотря на доброкачественность, течение менингиомы может быть тяжелым по причине того, что увеличиваясь в размерах, она может сдавливать жизненно важные центры в головном мозгу, приводя к выраженной симптоматике.
Классификация и виды менингиомы
Опухоли центральной нервной системы весьма многообразны и для систематизации новообразований, растущих из мозговой оболочки было разработано несколько классификаций. Эти классификации использовали разные критерии. Среднестатистический пациент, впервые столкнувшийся с диагнозом, может легко запутаться в терминах.
Гистологическая классификация, которую использует ВОЗ основывается на степени злокачественности. Согласно этой системы можно выделить три типа менингиом:
Имеющие 1-ю степень злокачественности – это опухоли, характеризующиеся доброкачественным ростом, они увеличиваются в размерах медленно, редко рецидивируют после лечения. Самый частый тип менингиом.
Имеющие 2-ю степень злокачественности. Менингиома имеет атипичное строение, растет быстрее, относительно высока частота рецидивов после удаления.
Имеющие 3-ю степень злокачественности – наиболее редкий и злокачественный тип менингио., Быстро растут, прорастают окружающие ткани, часто рецидивируют. Из всех типов менингиом – самый редкий.
В зависимости от строения опухоли принято выделять следующие виды менингиом:
- Типическая менингиома,
- Атипическая,
- Хордоидная,
- Светлоклеточная,
- Анапластическая,
- Рабдоидная,
- Папиллярная.
Типическая менингиома в свою очередь подразделяется на следующие подтипы:
- менинготелиоматозная,
- фиброзная,
- переходная,
- псаммоматозная,
- ангиоматозная,
- микрокистозная,
- секреторная,
- Ссобилием лимфоцитов,
- метапластическая.
Ниже будут описаны наиболее распространенные разновидности опухолей, чтобы привести термины, которые пациент может услышать чаще всего.
Менингиома мозга
Менингиома головного мозга – это общее название. Если быть предельно точным, то менингиома в случае доброкачественного течения не может затрагивать головной мозг, поскольку растет из ткани мозговой оболочки. Под менингиомой мозга можно подразумевать злокачественное новообразование из клеток арахноидального эндотелия.
Атипическая менингиома
Атипическая менингиома отличается от типической, тем, что является более злокачественной, строение ее клеток уже может отличаться от нормальных клеток паутинной оболочки. Опухоль быстрее растет. Вероятность рецидивов после радикального лечения в течение 5 лет составляет 40% . После операции пациенты нуждаются в тщательном наблюдении.
Парасагиттальная менингиома
Парасаггитальная менингиома – это опухоль из мозговых оболочек, располагающаяся в стенках саггитального синуса и серповидного отростка. Находится в зоне между полушариями головного мозга. Такое расположение опухоли затрудняет ее удаление, поэтому отмечается большое число ее рецидивов, вследствие невозможности полного иссечения.
Внемозговая менингиома,
Внемозговая менингиома – это большинство доброкачественных новообразований мозговых оболочек, которые не прорастают внутрь мозговых тканей. Иногда под этим термином может подразумеваться менингиома спинного мозга.
Менингиома позвоночника
Менингиома позвоночника – это опухоль, которая развивается из оболочек, окружающих спинной мозг. Отличается от менингиом других локализацией наличием так называемых спинальных симптомов (связанных с нарушением функции спинного мозга).
Что такое кальцинированная Менингиома?
Кальцинированная менингиома - это опухоль оболочек головного мозга, в которой при проведении МРТ обнаруживаются включения из кальция. Кальцинаты формируются вследствие особенностей обмена веществ внутри тканей пациента.
Что такое псаммоматозная Менингиома?
Псаммоматозная менингиома – это другое название кальцинированной менингиомы. В опухоли обнаруживается огромное количество псаммоматозных телец - кальцификатов. Чаще всего опухоль имеет доброкачественное течение, после удаления наблюдается малое количество рецидивов.
Как быстро растет менингиома?
Рост менингиомы зависит от ее типа. Чем более злокачественнее менингиома, тем быстрее растет новообразование. Точные значения до недель, характеризующие скорость роста, дать очень сложно, поскольку пациенты обращаются в тот момент, когда опухоль достигает видимых размеров. Доброкачественные опухоли растут в течение многих лет, злокачественные увеличиваются в объеме в течение нескольких недель.
Существует рекомендация, согласно которой пациенты со злокачественным типом опухоли должны наблюдать не позже чем через 3 недели после операции. О степени злокачественности можно судить после изучения образца опухоли взятого после операции или биопсии. Считается, что количество митозов (делящихся клеток), превышающее 4 на 10 полей зрения – достоверный сигнал о возможном рецидиве.
Симптомы менингиомы

Особых проявлений у этой опухоли нет, пока менингиома маленькая, длительное время ее течение может быть бессимптомным. По мере роста у пациента может появляться головная боль. Боль носит тупой и распирающий характер, появляется в утренние и вечерние часы. В зависимости от локализации очага могут наблюдаться эпилептические приступы, нарушения зрения, нарушение чувствительности.
Если опухоль достигает критических размеров, появляются тошнота и рвота центрального генеза, связанные с повышением внутричерепного давления и развитием отека мозга. Такое состояние может угрожать жизни пациента.
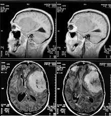
Специфика диагностики менингиомы
Наиболее информативным видом диагностики менингиом является Магнитно-резонанасная томография (МРТ). При помощи МРТ можно определить точное расположение менингиомы (в височной , лобной доле и т. д.), кровоснабжение, состояние сосудов, особенности строения. Компьютерная томография (КТ) используется также часто, но на менее информативна. На КТ неплохо визуализируются вкрапления кальция, состояние костей черепа.
Более современный метод исследования - позитронно- эмиссионная томография (ПЭТ) мало информативен в диагностик менингиом. Этот факт в сочетании с высокой стоимостью делает проведение ПЭТ нерациональным.
Ангиография проводится по узким показаниям, чаще как составляющая комплексного лечения. Ангиография позволяет подробно изучить кровоснабжение и при необходимости эмболизировать определенные кровеносные сосуды. Этот метод может входиь в предоперационную подготовку либо применяться самостоятельно.
Для менингиомы применяются в основном хирургические методики лечения стадий опухолей мозга.
Особенности лечения менингиомы за границей
Прогрессивное лечение рака за границей включает комплексное лечение с применением различных методов терапии. В то время как основным методом лечения за рубежом менингиомы – является хирургический. Ввиду того, что менингиома - это доброкачественное новообразование при полном его удалении возможно полное излечение. В том случае если опухоль имеет признаки злокачественности, есть необходимость проведения дополнительных хирургических вмешательств, а также в некоторых случаях требуется облучение.
Стереотаксическиая радиотерапия – это одна из разновидностей лучевой терапии. Используется несколько мощных узконаправленных пучков направляемых в зону опухоли, чтобы менингиома рассосалась. Результатом становится разрушение последней. Эффективно такое лечение в тех случаях, когда доступ к новообразованию затруднен и опухоль имеет малые размеры. Химиотерапия практически не применяется при менингиомах.
Как проводится удаление менингиомы в Израиле
Лечение менингиомы в Израиле предусматривает только проверенные и надежные методы лечения. Инновации в лечении за рубежом активно применяются израильскими клиниками. При наличии всех необходимых условий проводится радикальная резекция опухоли с последующим наблюдением. В том случае, если доступ к опухоли затруднен, она имеет небольшие размеры, проводится стереотаксическая радиотерапия с применением системы «Кибернож», которую на данный момент можно назвать одной из самых лучших во всем мире.
Операция по удалению менингиомы,
Операции по удалению менингиомы предполагает в среднем около 10 дней госпитализации. Длительность операции может составлять от 3-х до 4-х часов. В том случае если опухоль доброкачественная, она удаляется полностью. В случае злокачественного течения болезни планируется удаление новообразования в несколько этапов.
Само перационное вмешательство проходитпо стандартному алгоритму. После проведения ряда подготовительных процедур пациент вводится в состояние наркоза. Создается операционный доступ, опухоль иссекается, сосуды коагулируются, все ткани помещаются на свое место, накладываются швы.
Стереотаксическая радиотерпаия проводится без хирургического вмешательства. Обработка системой «Кибернож» происходит в специально оборудованном помещении, пучок лучей направляется в проекцию расположения менингиомы.
После удаления менингиомы
После удаления менингиомы пациент проводит несколько дней в стационаре, за ним осуществляется необходимый уход и наблюдение. При удалении злокачественного новообразования пациенту необходимо через несколько недель повторно обследоваться на предмет рецидива.
Прогнозы лечения менингиомы
В более чем 90 % случаев менингиома является доброкачественным новообразованием. После удаления опухоли, вероятность рецидива сводится к нулю. Доброкачественное новообразование практически не вовлекает непосредственно нервную ткань. При умеренных размерах возможно выздоровление и восстановление нарушенных функций. В том случае если новообразование успело достигнуть критических размеров, восстановление функции может проходить тяжелее, так как вследствие сдавливания нервной ткани, в них могут произойти определенные изменения.
Злокачественные новообразования приходится удалять в несколько этапов, поэтому восстановительный период будет длиться дольше.
Прогноз лечения в основном зависит от локализации менингиомы, степени ее злокачественности, размеров, состояния здоровья пациента и возраста.
Чем здоровее пациент и моложе, меньшие размеры опухоли при сохранении доброкачественности, тем быстрее будет проходить выздоровление.
Отзывы о лечении менингиомы за границей свидетельствуют о том, что многие пациенты успешно избавляются от болезни возвращаются к нормальной жизни.
Узнайте цены на лечение менингиомы за рубежом
Для того, чтобы узнать стоимость лечения менингиомы заграницей, необходимо пройти первичную консультации предоставить результаты правильно поведенных диагностических мероприятий.
Узнайте цены на лечение в зарубежных клиниках на сайте, приведены примерные расценки на применение некоторых методов терапии. Цена лечения менингиомы в Израиле определяется количеством необходимых оперативных вмешательств, необходимостью проведения дополнительных видов лечения, а также дополнительных диагностических процедур. Также на общую стоимость влияют условия пребывания, питание.
Злокачественная опухоль, расположенная в труднодоступном участке головного мозга крупных размеров потребует нескольких операций либо применения системы «Кибернож». Потребуется более сложная подготовка для пациента перед операцией и более длительный реабилитационный период. Нужен также будет ряд дополнительных контрольных обследований. Такое лечение будет дороже.
Доброкачественное новообразование, которое можно удалить, проведя одну деинственную операцию обойдется дешевле.
Ведущие израильские клиники предлагают индивидуальный подход к каждому пациенту, с учетом диагноза, потребностей пациента и его материальных возможностей.


WhatsApp




