Изучите новые возможности лечения опухолей мозжечка за границей
Мозжечок – относится к заднему отделу головного мозга, он занимает всего лишь 10% от всего объема, но в нем сосредоточено более 50% всех нейронов центральной нервной системы. Соответственно нарушении функционирования этой зоны влечет за собой серьезные последствия для работы всего головного мозга. Основной функцией мозжечка считается координация движений. Наиболее часто в мозжечке обнаруживаются астроцитомы и медуллобластомы. Астроцитома – это доброкачественная опухоль, может возникать и в других отделах ЦНС, медуллобластома -это злокачественное новообразования, характерное только для мозжечка.
Содержание
- Что такое опухоль мозжечка?
- Симптомы опухоли мозжечка
- Виды опухолей мозжечка
- Последствия и прогнозы лечения опухоли мозжечка
- Диагностика опухоли мозжечка головного мозга
- Эффективное лечение опухоли мозжечка за рубежом
- Как проводятся операции при опухоли мозжечка в Израиле?
- Узнайте стоимость лечения опухоли мозжечка за рубежом
- Читайте отзывы о лечении опухоли мозжечка за границей
Что такое опухоль мозжечка?
Опухоль мозжечка,– это новообразование, располагающееся, находящихся в задней черепной ямке, происходит из клеточных элементов составляющих мозжечок. Наиболее уязвимая возрастная категория пациентов для образования злокачественных опухолей (в особенности медуллобластом) – это дети. В отрасли детской онкологии этот тип опухоли в общей структуре составляет около 1/5 от всех первичных новообразований.
Главная особенность медуллобластомы - это способность давать метастазы. Метастазирование обычно происходит в мягкую оболочку головного и спинного мозга и внутреннюю выстилку желудочков мозга, то есть с током спинно-мозговой жидкости. Больше ни одна опухоль центральной нервной системы не способна метастазировать.
Астроцитома мозжечка также обнаруживается в основном у детей, но эта опухоль имеет доброкачественное течение.
Симптомы опухоли мозжечка
Симптомы опухоли мозжечка любого происхождения имеет более-менее сходную картину. Рост опухоли приводит к сдавливанию структур мозжечка, желудочков, происходит нарушение оттока спинно-мозгвой жидкости, что приводит к гидроцефалии и повышению внутричерепного давления. Симптомы, связанные с эти механизмом, появляются на поздних стадиях.
На более ранних этапах болезни в основном беспокоит головная боль, иногда сопровождаемая рвотой. Также происходит нарушение координации, пациент не может удерживать определенную позу, происходит ослабление тонуса мышц, возникает нистагм – непроизвольные частые движения глазных яблок. Происходит нарушение функций черепно-мозговых нервов, в результате чего может наступить парез мимических мышц, и мышц, двигающих глаза.
Симптомы опухоли мозжечка у женщин
Особых различий, связанных с полом, в опухоль мозжечка не имеет. У женщин и мужчин клиническое течение приблизительно одинаково. На выработку половых гормонов опухоль не влияет. Некоторые ученые приводят данные о преимущественном поражении медуллобластомой детей мужского пола.
Виды опухолей мозжечка
Опухоли мозжечка различаются наличием злокачественного перерождения, происхождением клеток.
Наиболее часто встречаются такие опухоли как астроцитома и медуллобластома. Астроцитома происходит из астроцитов – вспомогательных клеток, окружающих нейроны - нервные клетки, исполняющие трофическую и защитную функцию.
Несмотря на свою доброкачественность, астроцитома характеризуется инфильтративным ростом, что чаще присуще злокачественным опухолям.
Классификация стадий астроцитомы выделяет отдельно особо опасный ее тип – глиобластому. Обнаруживается чаще у мужчин после 40 лет. Для нее характерен очень быстрый рост и прорастание во все слои мозговой ткани.
Медуллобластома – это агрессивная злокачественная опухоль, происходит из эмбриональной ткани, то есть она низкодифференцированная и, соответственно, чрезвычайно агрессивная.
Опухоль мозжечка у детей
Мозжечок – это наиболее подверженная опухолям часть головного мозга у детей. Наиболее часто и доброкачественные, и злокачественные опухоли в мозжечке диагностируются именно у детей. Ученые относительно медуллобластомы выделяют 2 пика выявляемости - возраст от 3-до 4-х лет и от 8-и до 9 лет.
Доброкачественные опухоли мозжечка
Стоит отметить, что в клиническом отношении доброкачественность или злокачественность опухоли не имеет большое значение. Растущая опухоль даже без признаков злокачественности будет в любом случае сдавливать и повреждать мозговые и мозжечковые ткани. Даже доброкачественная опухоль может по достижении критических размеров стать причиной инвалидизации или даже смерти человека.
Типичный представитель доброкачественной опухоли мозжечка астроцитома. В мозжечке она формируется в основном в детском возрасте.
Злокачественная опухоль мозжечка
Наиболее типичный представитель злокачественных опухолей– это медуллобластома, встречаются также злокачественные виды астроцитом. Медуллобластома быстро растет, дает метастазы. Чуть реже в мозжечке встречаются такие злокачественные опухоли как глиома или глиобластома. Внутри опухолей могут образовываться кисты.
Последствия и прогнозы лечения опухоли мозжечка
Критерий успешности проведенного лечения – отсутствие рецидивов и выживаемость в течение 5 лет после операции. Сколько живут с опухолью мозжечка, зависит в основном от степени злокачественности и стадии, на которой ее обнаружили.
Чем более злокачественна опухоль, тем вероятность успешного излечения снижается, особенно, если диагноз устанавливается на поздних стадиях. Наиболее сложно проходит лечение медуллобластомы. Способность опухоли давать метастазы повышает риск рецидивов.
Наилучшие прогнозы и наибольшие шансы на излечения имеют пациенты на начальных стадиях развития опухоли, без метастазов, дети в возрасте старше 3-х лет, пациенты, которым удалось полностью удалить опухоль и пациенты, у которых в ближайшие месяцы не возникло рецидивов после удаления опухоли мозжечка.
В любом случае лечение должно проводиться в полном объеме, поскольку имеется достаточное количество случаев успешного лечения даже на поздних стадиях. Неблагоприятная ситуация с прогнозами должна мотивировать пациента на скорейшее начало лечения после установки диагноза.
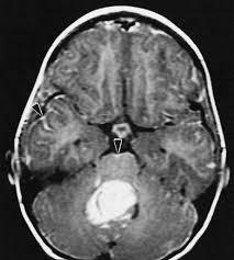
Диагностика опухоли мозжечка головного мозга

Диагноз опухоли мозжечка может быть поставлен после проведения КТ и МРТ.
Оба метода исследования следует проводить после введения контрастных веществ. На КТ могут помимо опухоли, которая неоднородно накапливать контраст, обнаруживаются кисты и кальцинаты.
На МРТ достаточно неплохо обнаруживаются метастазы, если процедура проведена с контрастированием. Рекомендуется также проведение МРТ спинного мозга для исключения опухолевого процесса в нем.
Эффективное лечение опухоли мозжечка за границей
Эффективное лечение за границей возможно благодаря тому, что врачи имеют огромный опыт по лечению опухолей различной локализации: в мозжечке, полушариях головного мозга, в спинном мозгу, в том числе и таких весьма агрессивных, как медуллобластома. Основной метод лечения – хирургический.
Главное преимущество этого метода – визуальный контроль, врач видит опухоль своими глазами и удаляет все, что возможно. В том случае если врачу удалось удалить новообразование полностью, вероятность рецидива минимальна, что значительно улучшает прогнозы как по продолжительности жизни, так и по скорости реабилитации пациента после операции.
Полное удаление опухоли не возможно в том случае, если опухоль успела прорасти в ствол мозга и стенку 4-го желудочка (в этой зоне находятся жизненно важные центры).
Применяются также лучевая терапия и химиотерапия. Эти методы назначают в дополнение к хирургическому методу либо самостоятельно в том случае, если операция имеет высокие риски для жизни.
Новое лечение рака за рубежом предусматривает использование лучевой терапии с помощью методики «Кибер нож».
Кибернож – это не хирургический метод, несмотря на «хирургическое» название. В сравнении с обычной лучевой терапией его эффект близок скорее к полноценному оперативному вмешательству. Для применения этой системы не требуется прямой хирургический доступ. Поток лучей не рассеивается и точечно направляется в проекцию опухоли. В результате происходит разрушение исключительно клеток опухоли.
Удаление опухоли мозжечка
Современная хирургия предполагает использование небольших доступов, активное применение эндоскопических методов, чтобы вовлекать в операцию только нежизнеспособные пораженные ткани. Современные малоинвазивные доступы нисколько не уступают в эффективности обычным, поскольку обзор у хирурга остается, но травмируется меньшее количество здоровых тканей.
Как проводятся операции при опухоли мозжечка в Израиле?
Программы лечения опухолей мозга за рубежом в первую очередь включают хирургическую операцию. Перед проведением операции пациент тщательно обследуется. Должен быть поставлен правильный диагноз, уточено наличие метастазов, а также принято решение об установке шунта, необходимого для отвода лишней жидкости из полости желудочка (наблюдается при гидроцефалии и повышении внутричерепного давления). Уточняются противопоказания к проведению операции.
Само вмешательство проходит стандартно. После введения в наркоз пациента, выполняется доступ к задней черепной ямке. Вводятся оптические приборы, позволяющие видеть ход операции на экране монитора. Хирург иссекает новообразование, коагулирует сосуды. После того как все запланированные этапы завершены, накладываются швы. Операция длиться несколько часов.
Пациент некоторое время еще должен находится под наблюдением. После операции может быть назначен курс химиотерапии или радиотерапии. Последствия операции на мозжечке будут тем менее выражены, чем меньше затронуто здоровых тканей.
Узнайте стоимость лечения опухоли мозжечка за рубежом
Стоимость лечения опухоли мозжечка определяется несколькими факторами. В первую очередь на формирование цены влияет тип опухоли. Разные опухоли требуют различного лечения. Может быть необходимым различное количество курсов облучения, приема химиотерапевтических препаратов, а также количество оперативных вмешательств.
Есть возможность составления предварительного плана лечения со стоимостью. С этой целью можно записаться на онлайн-консультацию к врачу. Также вашему вниманию может быть предоставлен рейтинг лучших клиник Израиля.
С порядком цен также можно ознакомиться, просмотрев таблицу на сайте. Более точная цена может быть названа только после полного обследования на территории больницы, а также в ходе самого лечения.
Стоимость лечения в Израиле соответствует среднестатистической во всем мире. В ряде случаев возможен индивидуальный гибкий подход, чтобы лечение не слишком ударило по карману. Чтобы понять преимущества ценовой политики в Израиле, изучите цены на лечение в зарубежных клиниках других стран.
Читайте отзывы о лечении опухоли мозжечка за границей

"Хочу от всей души поблагодарить весь персонал клиники за профессионализм и проявленную заботу. Положительный настрой передается пациенту и настраивает на борьбу с болезнью. Очень приятно, что врачи отвечают на все вопросы, все объясняют по операции и по цене. У меня была обнаружена астроцитома мозжечка. Диагноз правильно поставили только в Израиле, операция прошла удачно. Чувствую себя лучше. Прохожу курс лучевой терапии и настраиваюсь только на лучшее".
Елена К.
Опухоль головного мозга или мозжечка, в особенности, если обнаруживается у ребенка, часто повергает людей в шок. Информационные ресурсы пестрят как непонятными «уникальными» методиками по быстрому излечению, так и иногда пугающими прогнозами, повергающими в депрессию. Все это не лучшим образом мотивирует на лечение у профессионалов.
Стоит отметить, что приведенные опухоли не являются примерами самых злокачественных новообразований в организме человека. Более того, если речь идет о ребенке, то детский организм обладает большими способностями к восстановлению чем взрослый. Даже агрессивные раковые опухоли на 4-й стадии имеют определенный процент не только выживания, но и частичного выздоровления. Подобная находка – не повод для отчаяния, а повод для быстрого принятия серьезных решений. Своевременная терапия, начатая без промедлений спасает сотни и тысячи жизней.


WhatsApp




